Lingual Tedavi – Görünmez Diş Telleri
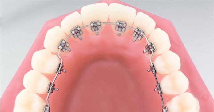
Lingual tedavi, diş çapraşıklıklarının ve pozisyon bozukluklarının düzeltilmesinde kullanılan diş teli yöntemidir. Lingual diş teli tedavisi sırasında, teller ve braketler dişlerin iç kısmına yerleştirilir. Son yıllarda estetik görünüm kaygısıyla birlikte en çok tercih edilen ortodonti tedavi yöntemlerinden biri de lingual ortodontidir. İlk olarak 1970’lerde kullanılan lingual diş teli, günümüz teknolojisiyle birlikte oldukça gelişmiştir. Standart diş telleri ile aynı tedavi süresine sahip olan lingual ortodonti, dile temas ettiği için 1 – 2 haftalık aşınma süreci olsa da oldukça avantajlı bir yöntemdir. Metal diş tellerine nazaran diş üzerinde braketlerin ve ark tellerinin olmaması, kişiye özel üretildiği için hata payı minimum olması yönünden tercih edilmelidir.
Lingual Tedavi Kimlere Uygulanır?
Görünmez diş teli olarak tanımlanan ve dişlerin arka yüzeylerine yapıştırılan braketlerin kullanıldığı lingual diş teli tedavisi, dileyen tüm hastalara uygulanabilir. İş ve sosyal hayatları gereği göz önünde olan ya da insanlar ile iletişim halinde olan yöneticiler, öğretmenler, sanatçılar, manken ve sporcular tarafından tercih edilmektedir. Ortognatik cerrahi uygulanacak olan hastalara önerilmeyen lingual tedavi:- Alt ve üst çene dengesizliği olan kişilere,
- Alt çene bozukluklarıyla dişleri öne kapanan kişilere,
- Dişlerde öne doğru kayma yaşayanlara,
- Estetik kaygısı olan kişilere,
- İşi ve sosyal çevresi nedeniyle görüntüsüne önem verenlere,
- Genel ortodontik sıkıntılara sahip kişilere,
- Diş gıcırdatma alışkanlıkları olan kişilere,
- Önde konumlanmış dişlerle çarpma gibi travma yaşamaya müsait olan kişilere uygulanır.
Lingual Diş Teli Acıtır Mı?
Görünmez diş teli tedavisi olan lingual uygulandığında diğer tüm ortodontik tedavilerde olduğu gibi ilk haftalarda ağrı veya hafif sızı hissedilebilir. Dil ile temas eden diş tellerinin varlığına alışıldıktan sonra herhangi bir sıkıntıyla karşılaşılmamaktadır. Ayrıca dişlerin yerleri değişmeye başladığında bazı besinleri tüketirken dişlerde hassaslaşma oluşabilir. Hekimin yeme içme önerilerine uymak gerekir. Lingual tedavi, hem estetik kaygıları ortadan kaldırması hem de ileri yaşlardaki ortodontik tedavileri kolaylaştırması açısından oldukça avantajlıdır. Görünmeyen teller gülüşünüzü özgürleştirir…
Lingual Diş Teli Tedavisi Süresi
Lingual diş teli tedavisi, klasik diş teli tedavilerine göre sonucu birkaç ay geç almanıza neden olabilir. Dişlerin arka yüzeylerinden uygulanan baskı ile ön yüzeylerinden uygulanan baskı aynı olmadığı için tedavi süresi buna bağlı olarak değişkenlik gösterecektir. Kişinin diş ve çene yapısı, diğer diş tedavilerine ihtiyacı olup olmaması ve hekimin tedavi planı da süreyi etkileyecektir. Her hastanın lingual ortodonti tedavi planı farklı şekilde oluşturulacaktır.
Lingual Diş Teli Tedavisinin Avantaj ve Dezavantajları

Lingual Diş Teli Tedavisinin Avantajları;
Lingual diş teli tedavisi son yıllarda görünümüne önem verenlerin tercih ettiği görünmez ortodontik tedavi uygulamasıdır. Özellikle ileri yaşlarda tel taktırmak isteyenler ile iş adamları, yöneticiler, ekip liderleri, sağlık sektörü çalışanları, IK uzmanları, satış sorumluları, halkla ilişkiler ve reklam departmanları ile mağaza çalışanları tarafından görünmeyen diş teli tedavileri tercih edilmektedir. Her hasta için özel olarak tasarlanan ve gizli teller ile yapıldığı için görünüm kaygısını minimuma indiren lingual tedavi, hastanın içinden geldiği gibi gülmesini sağlarken tedavi sürecine olumlu katkı sağlamaktadır.
- Klasik metal tellere nazaran dışarıdan bakıldığında görünmezler.
- Braketler diş yüzeyinde olmadığı için tedavi süreci en iyi şekilde gözlemlenir.
- Yetişkin hastalarda estetik görünüm kaygısını yok eder.
- Her yaş grubuna rahatlıkla uygulanabilir.
- Lingual diş teli tedavisi kişilerde alerjik reaksiyona neden olmamaktadır.
- Hastaların mesleki ve sosyal hayatlarını etkilemezler.
- Hastanın yaşına, yüz yapısına ve gülüşüne uygun tasarlanan lingual diş telleri ile tedavi süresince yaşanacak sıkıntılar asgariye indirilir.
Hem görünüşünüzden ödün vermemek hem de sağlıklı ve estetik dişlere sahip olmak istiyorsanız lingual diş teli tedavisi tam size göre.
Lingual Diş Teli Tedavisinin Dezavantajları;
Her diş teli tedavisinde olduğu gibi lingual ortodonti tedavisinde de dezavantaj vardır. Dişlerin arkasına yapıştırılması ve dolayısıyla dişlerin baskıyı arkadan alması nedeniyle dişlerin istenen görünüme ulaşması için daha uzun süre gerekecektir. Ayrıca kişinin konuşmasını etkileyecek ve 1 – 3 ay arası bir süre bu durum görülecektir. Adaptasyon süresi ön yüzeye takılan braketlere göre daha uzun ve zor olması nedeniyle alışmayı zorlaştırmaktadır. Ayrıca diş temizliği klasik diş tellerine nazaran daha zordur. Bu yüzden diş temizliği, fırçalama gibi işlemlerin daha dikkatli ve özenli bir şekilde yapılması gerekir.